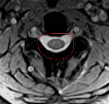
Il fenomemo descritto nell’articolo precedente si chiama “cord Thetering” che significa proprio stiramento midollare.
Praticamente questo meccanismo provoca una compressione sul midollo senza che si sia un’ernia discale a spingere! La compressione non è su una radice, ma sul midollo stesso.
Quindi i sintomi sono meno “periferici” (formicolio alle mani “ e più centrali: mal di testa, tensione, tesa vuota, difficoltà di concentrazione fino alla nausea e al vomito.
I sintomi legati a questo tipo di problemi li abbiamo già raccontati parlando del colpo della frusta.
Lo stiramento midollare è quindi un altro pezzo di quel rebus rappresentato dal mal di testa.
Per questo motivo recuperare la lordosi cervicale e disinnescare i meccanismi patologici è un’ottima idea per risolvere il rebus.

Una risposta a "Il Mal di Testa & i suoi Rebus. (Chord Tethering)."